科技早餐馆 · 5月11日 周六@与全球共享 中国品牌有底蕴更有底气……
发布时间: 2019-05-10
浏览次数: loading
来源:


今日大参考
与全球共享 中国品牌有底蕴更有底气

5月10日,第3个中国品牌日如期而至。从中国制造到中国创造,中国品牌一步步漂洋出海、走向全球;从中国速度到中国质量,中国企业一天天创新发展、做大做强;从中国产品到中国品牌,中国故事一次次唱响旋律、远播海外。

大疆在北美占据了无人机市场的半壁江山;数据显示华为手机在欧洲市场上销量达到4250万台,预计2019年华为将超过苹果成为欧洲第二大手机厂商;福田汽车逐步开拓泰国乃至东盟市场,成为首家在泰国开疆拓土的中国商用车企业;小米更是在短短不到10年做到206.24亿美元的品牌价值,业务覆盖80多个国家。以创新技术赢得认可与信任,以文化内涵促进文明交流与认同,今天,在从“走近”世界到“走进”世界的进程中,中国本身也正在从世界工厂进化为世界品牌。

新聚焦
1.我国隧道女专家严金秀当选国际隧道与地下空间协会主席

中国中铁科学研究院公布,现任中国中铁科研院研究员、副总经理严金秀在意大利当选为新一届国际隧道与地下空间协会主席,这是中国隧道专家在该国际学术组织中首次当选主席。

2.第二届进口博览会吸引世界500强和龙头企业超250家

第二届中国国际进口博览会企业展的招展工作接近尾声,大大超出去年同期的进度,吸引了超过250家世界500强和龙头企业参加,不少展区“一位难求”。据介绍,截至目前,中国国际进口博览会参展商联盟的成员单位达到了68家,联盟成员已经签约第二届进博会参展面积达到了近5万平方米,还有数十家全球企业积极申请加入联盟。
最新触角
我国科研团队发现新型“肥胖因子”

武汉大学生命科学学院宋保亮教授团队发现,肝脏分泌的GPNMB蛋白,是一个新的“肥胖因子”。它能通过上调脂肪组织的脂质合成基因表达,抑制机体产热,最终引起肥胖及胰岛素抵抗。
最新成果
1.软材料在3D打印中实现强韧粘接

中美研究团队合作提出了一种软结构3D打印的强韧粘接技术,实现了具有超强界面粘接的弹性体亲疏水异质结构的打印。研究人员表示,该软材料3D打印强韧粘接技术不局限应用于弹性体的粘接,或许还可以拓展到形状记忆聚合物与水凝胶的粘接。利用形状记忆聚合物这种智能材料,可以通过3D打印机,实现4D打印。

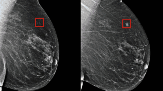
2.未来五年是否会患乳腺癌?MIT人工智能系统看X片就能预测

麻省理工学院计算科学和人工智能实验室与美国马萨诸塞州综合医院发布了一个全新的人工智能系统,该系统可以从乳房X光造影检查中预测患者是否会在未来五年内患上乳腺癌。据悉,这一模型学习了6万余名患者的乳房X线照片和已知结果,以了解乳腺组织中潜在恶性肿瘤的特征。
新数据
去年全球3D打印产值增长33.5%

工信部装备工业发展中心主任瞿国春称,去年全球增材制造(3D打印)产业产值已经达到97.95亿美元,同比增长了33.5%。其中,增材制造零部件的产值占比达12%,增材制造应用方式逐步从设计走向了直接制造,这意味着到了真正的产业化阶段。
新创投
滴滴发布群雁智能出行开放平台,全面开放平台AI能力

2019全球人工智能产品应用博览会近日正式开幕,滴滴CTO张博受邀出席大会并现场发布群雁智能出行开放平台,宣布将滴滴积累的AI技术、服务、算力以及多元化的解决方案进行全方位的开放。
周末看专题丨粮食
1. 28个品种通过全国海水稻区域试验

湖南省杂交水稻研究中心透露,共有28个品种通过了2018年全国海水稻区域试验。“杂交水稻之父”袁隆平表示,这些通过区域试验的品种将为我国海水稻的大面积实际应用提供基础。他的目标是要在8年时间里推广1亿亩海水稻。

2.超甜糯鲜食玉米育种有了新路

据中国农科院最新消息,该院作物科学研究所玉米基因编辑育种创新研究组与安徽农业大学合作,利用基因编辑技术创制超甜、糯与超甜糯复合型鲜食玉米育种技术,为高效培育这一类深受消费者喜爱的玉米品种提供了新的技术策略。

3.三代科研人员接力创新培育“光头”小麦 个子不高产量高

中国科学院成都生物研究所从1958年起,一直从事优质高产抗病小麦新品种选育研究。经过老中青3代科研人员的辛苦努力,培育出“川育25”。因为麦穗上没有密集生长着又长又细的麦芒,被称为“光头”,给农民收割带来便利。该品种最高亩产能达到500kg以上,与过去种植的小麦品种相比,产量能提升10%。

上月回放

中国航天为世园会植物打造星级“疗养院”

高峰论坛:刷新中国经济“信心指数”

“一带一路”共赢之路 世行:“一带一路”助推全球经济发展

我国具备向知识产权强国迈进基础

国际合作谱写深空探测未来

智慧火箭、卫星将有人类“思考指挥行动”能力

中国空间站公开征集科学实验和技术试验项目

激光扫描、3D打印、VR体验,数字化技术能否让文物“永生”…

中国长三甲系列运载火箭实现100次发射

科技支撑“一带一路”建设 中科院6年投入逾18亿元

中国科技越来越造福全人类

中国知识产权成功经验值得与“一带一路”国家分享

从试管婴儿到当妈妈 见证我国辅助生殖技术“茁壮成长”

中国将继续成为世界经济“引擎”

借助5G通信网络为“中枢神经”打造“智慧世园”

中国嫦娥四号获大量有效数据 探测结果符合预期

人类首张黑洞照片的三大看点

第七届中国电子信息博览会开幕 设八大展区 参展企业达1600多家

中国首次向“一带一路”国家现场直播心脏介入手术

中国航天将打造检验检测行业的“淘宝”

智慧新农具让春耕呈现新景象

玉兔二号探测有望满一年

北斗升级:阿拉伯国家上空平均可见8颗北斗卫星

百度大脑提出AADS自动驾驶仿真系统领先国际巨头

他们是“卫星的卫星”:我国第二代数据中继卫星系统天链二号成功发射

光纤变“神经” 大地能感知

点击"阅读原文"